Leaving alone the space left by a missing tooth (or teeth) may not sound like a big deal. But the consequences of not filling in the space can include:
Adjacent teeth changing position, thus affecting your bite
Shrinking of jawbone, making the face appear prematurely older
A less appealing smile
When you are missing a tooth (or a few teeth), you may find it difficult to chew or embarrassing to smile or laugh. Why let dental problems affect your quality of life?
Dental Implants

Dental implants are replacement teeth that look and feel just like your own. A dental implant is an ideal option for people in good general oral health who have lost a single tooth or multiple teeth due to periodontal disease, an injury, or some other reasons. Dental implants keep you smiling for life. You can eat and drink whatever you like without the inconveniences of cumbersome dentures and missing teeth. Best of all, the implants look and feel like real teeth for a flawless, natural smile.
Dentures and Bridges
Dentures and Bridges are alternative solutions to filling the gaps left behind by an extracted tooth (or teeth). We work with the best dental laboratory in South India to bring you the finest fixed and removable prosthetics. We offer a complete line of full and partial dentures, at several different price points.
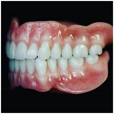
Complete Dentures

Complete or full dentures are an all inclusive full mouth reconstruction that works to restore function, youthful appearance, improved speech, facial support and patient self-esteem. We can create new dentures or replace your worn out dentures with custom made, state-of-the-art dentures . Your dentures will look as natural as possible. We utilize both porcelain and composite denture teeth of the highest quality.
Partials

Partial dentures can be fixed or removable. Partial dentures are made to fit either the upper or lower jaw and the partial is designed to replace any and all missing teeth in the affected jaw. Precision partials without clasps and flexible dentures can be constructed to maximize esthetics and comfort
A bridge (multiple units of crowns joined together) is an appliance used to replace one or more missing teeth. A bridge is made up of two crowns for the teeth on either side of the gap known as abutment teeth with false tooth/teeth in between. These false teeth are called pontics and can be made from gold, alloys, porcelain or a combination of these materials. Dental bridges are supported by natural teeth or implants.
Veneers

Dental veneers are custom-designed tooth-like thin ceramic material that, when applied over the surface of a tooth, can cover worn tooth enamel, uneven tooth alignment or spacing, chips or cracks. In addition to being esthetically pleasing, dental veneers can also serve a functional purpose by protecting the surface of a damaged tooth.
